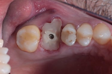
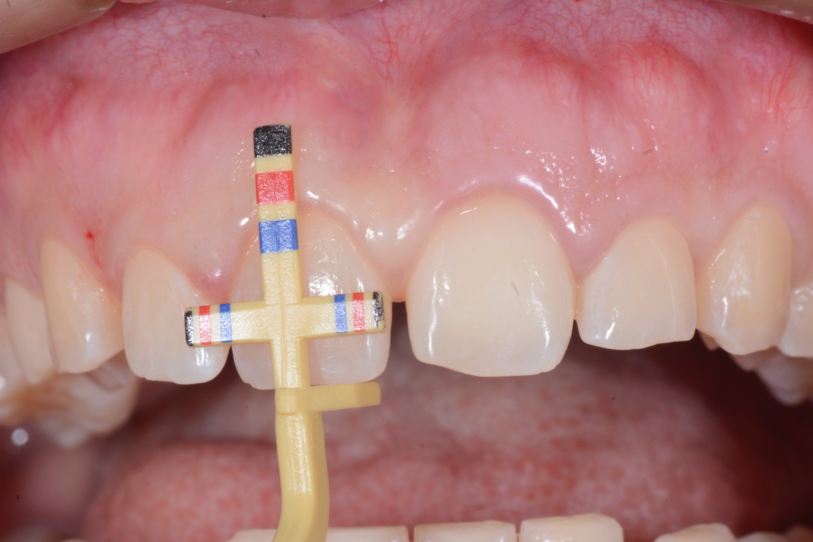
Técnica Avançada em Maxila

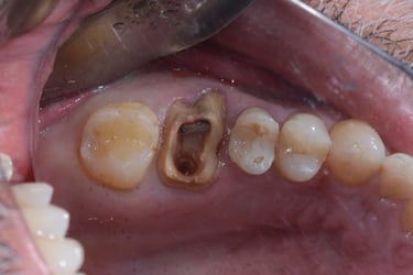
Implante imediato - Molar superior

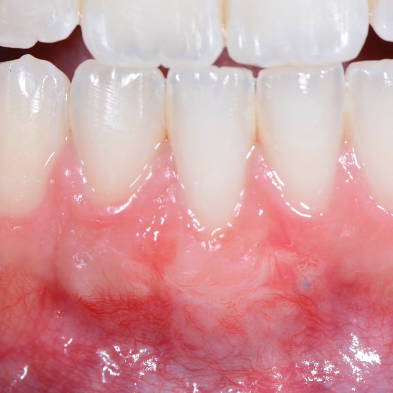
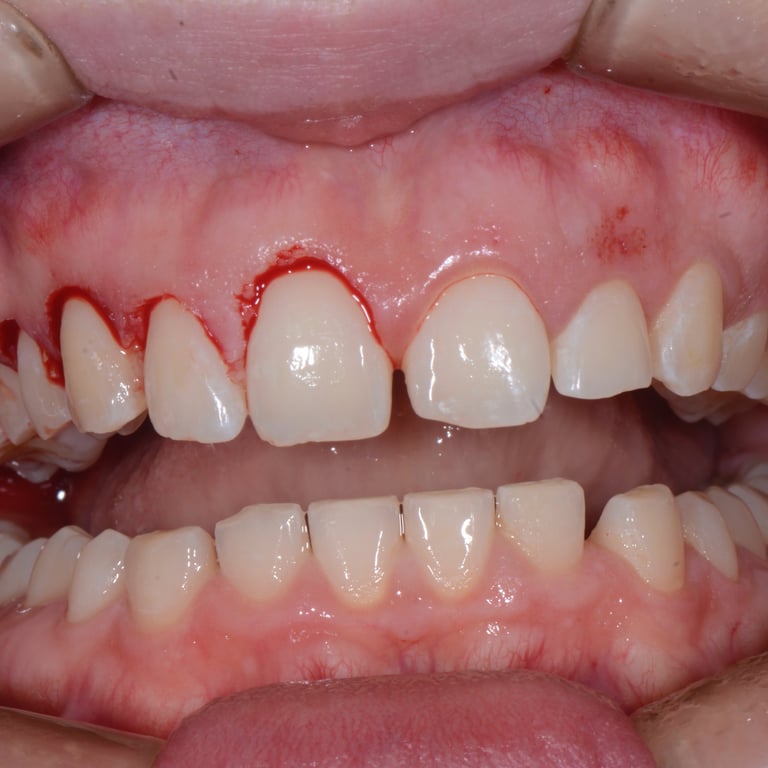
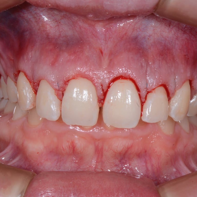
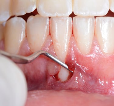
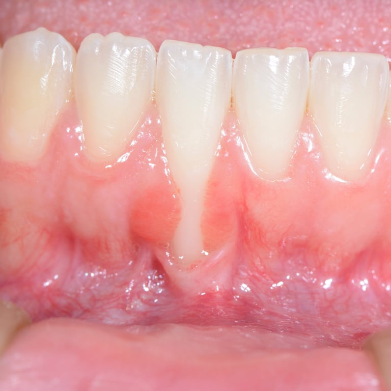
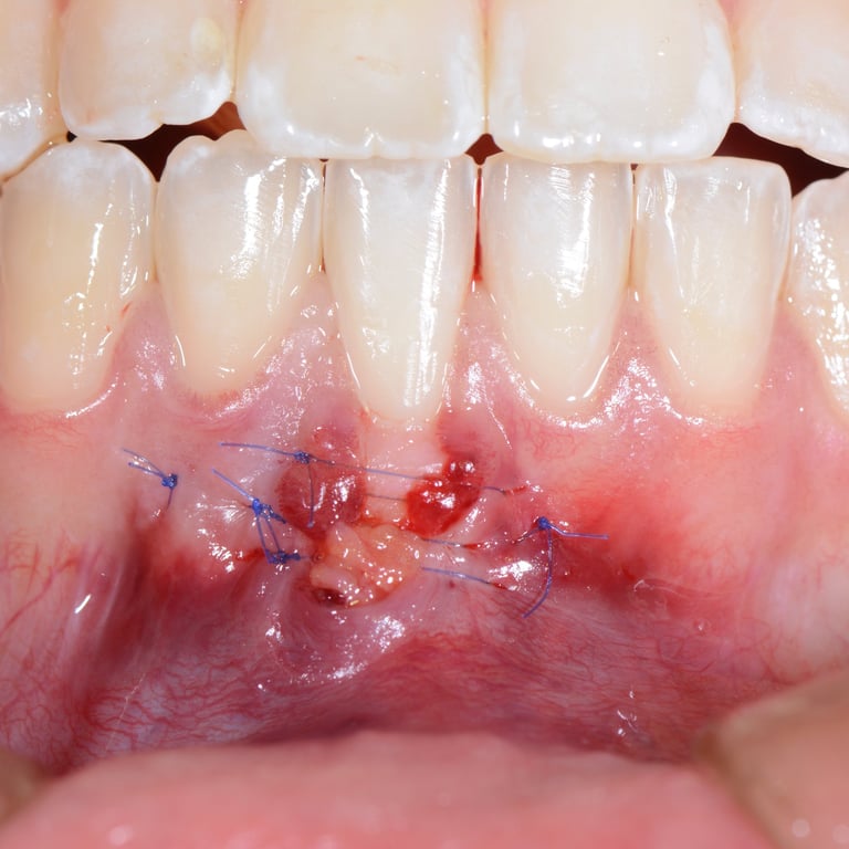
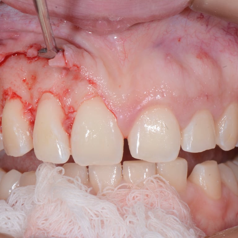
Manejo de Tecido Mole.

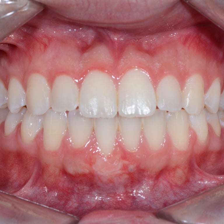
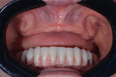
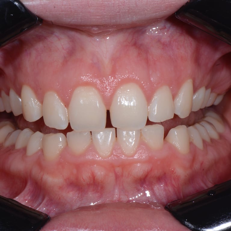
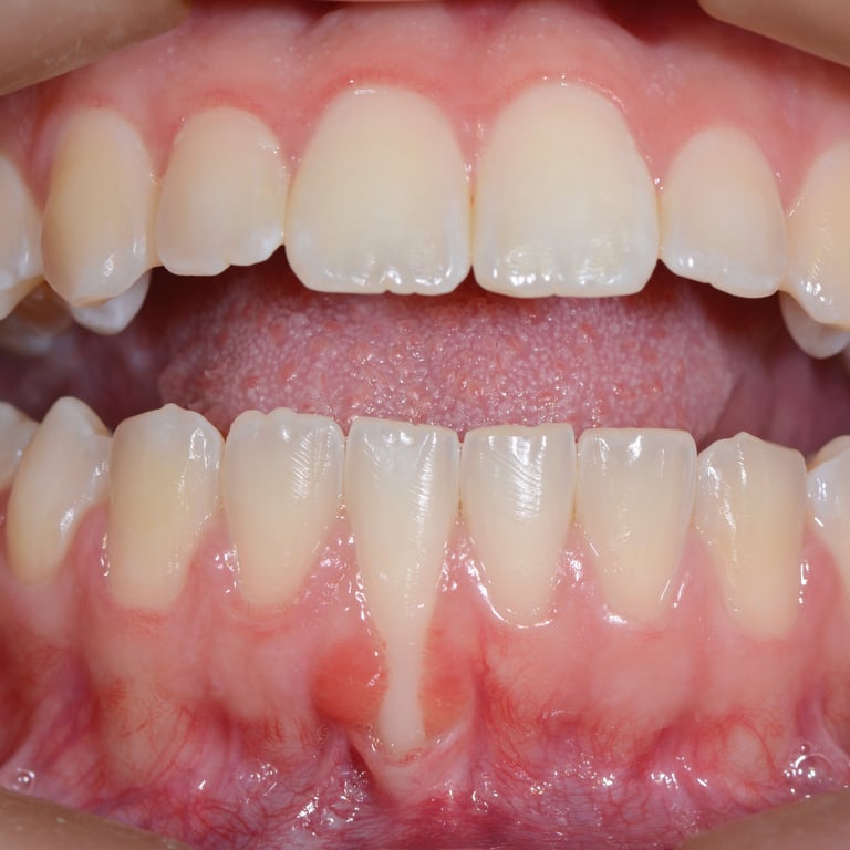
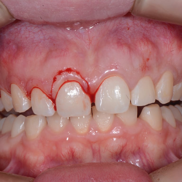
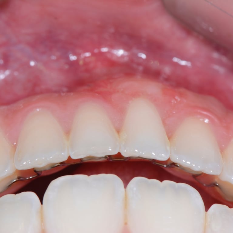
Correção de Sorriso